EUS(超音波内視鏡検査)
超音波検査装置のついた内視鏡を用いて、消化管さらに胆のう、膵臓などの腫瘍などを詳しく調べるものです。超音波内視鏡検査は専門的な検査であり、鎮静剤を用いて行います。
カプセル内視鏡検査
主に小腸を調べる検査です。
小腸ダブルバルーン内視鏡検査
尺取虫の様な機能の内視鏡で、小腸を調べる検査です。
-
小腸画像
-
上部から挿入
-
下部から挿入
超音波検査、造影超音波検査、CT検査(単純・造影)
造影超音波検査は、卵アレルギーの患者さん以外で、CTやMRI 等の検査で造影剤を使うことが出来なかったアレルギーの方や、腎臓の働きが悪い方にも安全に行える検査法です。
造影超音波検査(肝血管腫)
造影超音波検査で見つかった肝臓癌
低速の血流を写した超音波検査で見つかった胆のう癌
-
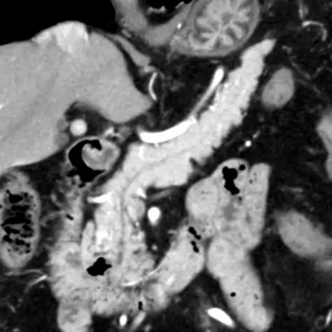
腹部 CT 検査
-
CT による3D 画像
肝臓、胆のう、膵臓を調べる検査
超音波と CT だけでなく、より専門的な超音波内視鏡、ERCP(内視鏡的逆行性胆管膵管造影)、PTC(経皮経肝胆管造影)、胆道・膵管内視鏡等を行っています。
-
ERCP(内視鏡的逆行性胆管膵管造影)内視鏡を使って胆管、 膵管を調べる検査
-
胆道内視鏡

