消化器内視鏡検査(大腸カメラ、胃カメラ等)とは
内視鏡を用いて消化管(食道、胃、十二指腸、小腸、大腸)をくまなく観察し病気を見つけて診断する方法です。上部消化管内視鏡検査(胃カメラ)、大腸内視鏡検査(大腸カメラ)をはじめとして小腸内視鏡、カプセル内視鏡、バーチャル内視鏡(大腸CTをご参照ください)も行っています。
当院では質が高く、安全で苦痛の少ない検査をより多くの患者さんに提供できるよう日々努力しております。
検査の参考費用はこちらのページをご覧ください。
- 上部内視鏡・下部内視鏡・大腸CT検査を受けられる方は、新型コロナウイルスに感染した場合、自宅待機解除日から2週間は検査できません。検査予約をしている場合は下記へご連絡いただき予約変更をお願いします。
上部消化管内視鏡検査(胃カメラ)
胃カメラ検査は当日対応が可能です。まずは診察を受けていただき、医師が必要と判断した場合、診察後に検査を行います。
来院前日の夜21時以降は絶食とし(来院2時間前までの水分は可)、朝8時~10時頃までにご来院ください。
原則として当日結果説明まで行いますので、お時間に余裕をもってお越しください。
- 状況により当日検査ができない場合もございます。
鎮静剤を使用した検査をご希望の場合
安全面を考慮し、鎮静剤を使用する胃カメラ検査は完全予約制です。
まずは受診していただき、医師にご相談のうえ検査日を予約し、後日検査となります。
当日検査希望の方
-
外来診察
-
2階検査センター受付
-
検査
-
外来結果説明
-
会計
-
帰宅
当院で検査予約されている方(再診の方)
1階受付後、外来診察はありませんので2階検査センター受付までお越しください。
大腸内視鏡検査(大腸カメラ)について
大腸内視鏡検査とは
大腸と小腸の一部を観察するために肛門から内視鏡を挿入し、炎症、腫瘍、ポリープなどを診断するために行います。組織検査(顕微鏡で細胞を確認する)を行うことも可能です。当院では鎮痛薬や二酸化炭素を使用することで、より苦痛の少ない大腸内視鏡検査を目指しています。
検査前の処置・食事について
大腸内視鏡検査を行うには大腸の中を空にしなければならず、検査前の処置は必要不可欠なものとなります。排便状態が不十分であった場合、検査時間の延長や苦痛の増強、病変の見逃しにも繋がります。検査当日排便状態が十分でないときは、下剤の服用を追加・浣腸を追加することがあります。
当院では大腸検査専用の食事をお勧めしています。
検査日前日夜と検査日当日下剤を飲んでいただきます。
上部消化管内視鏡検査(胃カメラ)について
上部消化管内視鏡検査とは
口または鼻から内視鏡を挿入して検査をします。食道・胃・十二指腸に発生した潰瘍、腫瘍、ポリープなどの診断をするために行います。組織検査(顕微鏡で細胞を確認する)を行うことも可能です。太さの違いで経鼻内視鏡と経口内視鏡に分けられます。
経鼻内視鏡
山下病院では患者さんの負担が少なくなるよう経鼻内視鏡を推奨をしています。
当院が使用している最新の経鼻内視鏡は5~6mmの細さなのに高画質です。
鼻から挿入すると舌の付け根に内視鏡が当たらないので、嘔吐反射(オエッとなること)が少なくなります。
経鼻内視鏡検査前の鼻麻酔では、鼻の穴を広げる効果のあるお薬を使用します。アレルギー性鼻炎の方でも、鼻から検査を受けて頂くことが出来ます。
経口内視鏡
太さ9~10mmの内視鏡を口から挿入します。経鼻内視鏡を口から挿入することも可能です。より詳しい検査には経口内視鏡が適している場合があります。
麻酔について
内視鏡検査において苦痛を強く感じる方は鎮静剤の使用が出来ますので、医師へご相談下さい。鎮静剤を使用した場合、検査当日は車・バイク・自転車の運転が出来ません。
- 鎮静剤をご希望の場合はあらかじめお電話でご予約をお願いします。
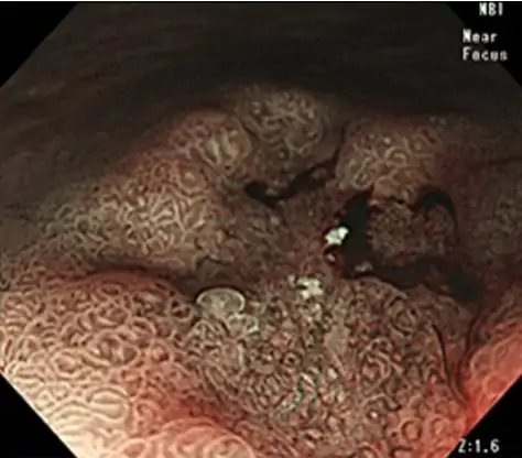
早期癌を発見、診断するための最新診断法
特殊光観察(NBI,BLI)
狭帯域の観察光を用いることで、血管や表面構造を強調して観察し、食道がんの発見や拡大内視鏡を用いた癌の範囲診断が可能となります。
ヨード
食道がんを見つけるための染色法で、ヨード染色により正常食道上皮のグリコーゲンと反応して褐色に変色し、がんが浮き上がって見えます。
AIM
酢酸インジゴカルミン混合液(acetic acid-indigocarmine mixture:AIM)を胃に撒布します。腫瘍部、非腫瘍部の粘液産生能の違いを利用した染色法で当院では胃癌の発見率を向上させるために導入しています。
胃カメラの年間内視鏡検査数について
下のグラフは2022年の月別上部消化管内視鏡(胃カメラ)の検査数です。 6月から12月は健診シーズンのため待ち時間が長くなることがあります。 主治医とよく御相談の上、定期的な検査をご検討ください。
女性のための女性医師による大腸内視鏡検査
当院では、消化器内視鏡専門医の女医が2名在籍しております。
大腸内視鏡検査(大腸カメラ)にご不安がある女性の方は、希望に応じて女性医師が検査を担当いたしますので、お気軽にご相談ください。
詳細はパンフレットPDFをご覧ください。
女性医師コメント
-
泉 千明(いずみ ちあき)
お腹の調子や健診結果で、そもそも検査すべきなのか、お悩みでしたらお気軽にご相談ください。専門医としてお悩みに寄り添った検査や治療をご提供できるよう努めます。 -
山下 彩子(やました あやこ)
大腸内視鏡検査ではポリープや癌を発見し、ポリープを切除することで将来の大腸癌のリスクを減らすことができますので、ぜひ一度、大腸内視鏡検査をご検討ください。
お問い合わせ
お電話
0586-45-4511
受付日時:月~金曜日 13:30~17:00


